2016
10/31
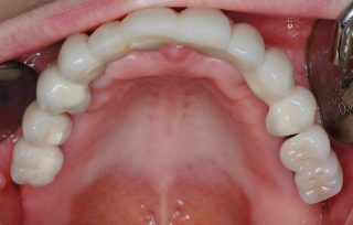
Case.4:インプラントとセラミッククラウン
- 2016.10.31
- 体験記-インプラント治療
【症例詳細】
- ①治療期間:6カ月(約12回)
- ②費用:約320万円(税別)
- ③メリット:
周りの歯を守ってくれます
見た目が美しいので、自信をもって笑えます
美味しく食事が食べられます
しゃべりやすくなり、滑舌がよくなります
入れ歯と比べ、着脱の手間がありません - ④デメリット:
インプラントも歯周病になります
手術(外科処置)が必要になります
一時的に禁煙していただく必要があります
定期的なメンテナンスが必要になります
全身の健康が損なわれるとインプラントの寿命が短くなります









