2016
10/29
Case.5:スピード矯正
- 2016.10.29
- 体験記-矯正歯科治療
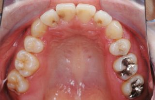
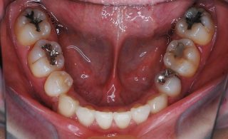
スピード矯正のケースです。
他院で3年以上矯正装置をつけていないとダメという診断で、スピード矯正を希望して来院。3年が半分になれば良いとのことでしたので、スピード矯正対応となりました。ワイヤーの治療期間は、当院では1年3か月でした。患者様からもあっという間の矯正治療でしたと満足のお言葉をいただきました。時間がない方は、是非お試し下さい・・・スピード矯正。通常の矯正より確実に早いです。
他院で3年以上矯正装置をつけていないとダメという診断で、スピード矯正を希望して来院。3年が半分になれば良いとのことでしたので、スピード矯正対応となりました。ワイヤーの治療期間は、当院では1年3か月でした。患者様からもあっという間の矯正治療でしたと満足のお言葉をいただきました。時間がない方は、是非お試し下さい・・・スピード矯正。通常の矯正より確実に早いです。
【症例詳細】
- ①治療期間:1年3カ月(約30回)
- ②費用:約115万円(税別)
- ③メリット:
コンプレックスが解消されます
自分に自信が持てます
笑顔が素敵になります
食べ物が食べやすくなります
人生に前向きになります - ④デメリット:
月に1回歯科医院に通院しなくてはいけません
矯正装置を装着するので、調整をすると違和感があります
毎食後の歯磨きが欠かせなくなります
歯磨きが上手にできないと虫歯になる確率があがります













