2016
10/30
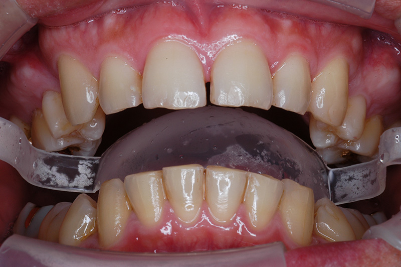
Case.6:歯科用ベースプレート(Essix)のケース
- 2016.10.30
- 体験記-矯正歯科治療
患者は副院長。前歯に少しの隙間が気になるので、歯科用ベースプレート(Essix)にて治療。治療期間はなんと最短の1カ月。歯がきれいに並びました。また、上の歯のみ、同時にホワイトニングも1週間行っています。
【症例詳細】
- ①治療期間:1カ月(約3回)
- ②費用:約30万円(税別)
- ③メリット:
コンプレックスが解消されます
自分に自信が持てます
笑顔が素敵になります
食べ物が食べやすくなります
人生に前向きになります - ④デメリット:
月に1回歯科医院に通院しなくてはいけません
矯正装置を装着するので、調整をすると違和感があります
毎食後の歯磨きが欠かせなくなります
歯磨きが上手にできないと虫歯になる確率があがります










