2016
10/27
Case.3:ホワイトワイヤーを用いたマルチブラケット矯正
- 2016.10.27
- 体験記-矯正歯科治療
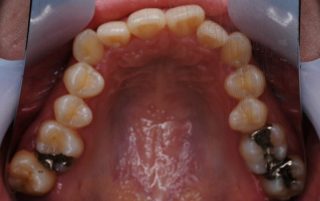
このケースは、デコボコでの相談のケースです。この患者さんでは、真ん中のあたりの歯を4本抜歯して、綺麗に歯並びを並べました。治療期間は、約2年間です。ホワイトワイヤーを用いたマルチブラケット矯正法で治療しました。
【症例詳細】
- ①治療期間:約2年(約26回)
- ②費用:約90万円(税別)
- ③メリット:
コンプレックスが解消されます
自分に自信が持てます
笑顔が素敵になります
食べ物が食べやすくなります
人生に前向きになります - ④デメリット:
月に1回歯科医院に通院しなくてはいけません
矯正装置を装着するので、調整をすると違和感があります
毎食後の歯磨きが欠かせなくなります
歯磨きが上手にできないと虫歯になる確率があがります













